2021年10月28日,国产做爱视频
陆颖健教授团队在Journal of Agricultural and Food Chemistry第69刊发表封面文章《Sulforaphane regulates glucose and lipid metabolisms in obese mice by restraining JNK and activating insulin and FGF21 Signal pathways》。该论文以国产做爱视频
为第一单位,田淑华为第一作者,陆颖健为通讯作者。


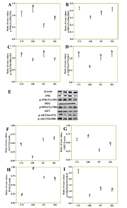
萝卜硫素是一种从十字花科植物中提取的异硫氰酸盐, 具有抗癌、抗氧化、预防肥胖和糖尿病的作用, 但其调节糖脂代谢, 改善肥胖诱导的代谢综合症的机制仍未深入的研究。我们的研究结果表明萝卜硫素主要是通过降低血液中的 LPS (脂多糖) 来缓解炎症的释放从而抑制JNK (c-Jun氨基端激酶) 的磷酸化, 导致JNK的阻断。JNK的失活会增加IRS (胰岛素受体底物) 的酪氨酸磷酸化位点, 从而促进AKT (Ser473) (蛋白激酶B) 的磷酸化来激活胰岛素信号通路。胰岛素信号通路的激活可以通过促进GSK3β (Ser9) (糖原合成酶激酶3β) 的磷酸化来促进肝糖原合成、抑制 G6PC (葡萄糖-6-磷酸酶) 、PCK1 (磷酸烯醇式丙酮酸羧激酶1) 和FOXO1酶的活性来抑制肝脏糖异生,同时降低SREBP-1(固醇调节元件结合蛋白-1) 和FAS (脂肪酸合成酶) 酶的活性来减少脂质合成。此外萝卜硫素也可以通过缓解FGF21 (成纤维细胞生长因子21) 抵抗来缓解肥胖。我们的研究结果可能为代谢综合征患者的症状缓解及维持能量稳态提供一种潜在有效的方法。


图1:萝卜硫素对肥胖小鼠肝脏蛋白表达量的影响

图2:萝卜硫素影响糖脂代谢通路
原文链接://doi.org/10.1021/acs.jafc.1c04933